
سه تا سه ماهه در دوران بارداری وجود دارد و هر سه ماهه در دوران زایمان اهمیت دارد. ضروری است که اسکن های مختلف و بررسی های بهداشتی در طی 9 ماهه انجام شود تا اطمینان حاصل شود که رشد کودک طبیعی در مسیر است. تست آنومالی یا اسکن در سه ماهه دوم بارداری به طور عمده برای پیگیری پیشرفت رشد جنین انجام می شود.
در طی اسکن، سونوگرافر (فردی که تست را انجام می دهد) رشد کلی اندام کودک را بررسی می کند و ساختار بدن را برای اطمینان از رشد طبیعی بررسی می کند. در این مقاله می خوانیم:
سونوگرافی آنومالی (سطح سونوگرافی دوبعدی) چیست؟
نحوه آماده شدن برای سونوگرافی آنومالی چیست؟
سونوگرافی آنومالی چه چیزی را تشخیص می دهد؟
تفسیر آنلاین سونوگرافی آنومالی
تصاویر مختلف سونوگرافی آنومالی
سونوگرافی آنومالی (سطح سونوگرافی دوبعدی) چیست؟

سونوگرافی آنومالی، همچنین به عنوان سطح اولتراسوند II شناخته می شود، یک اسکن متوسط بارداری است که جنین و رحم را از نزدیک بررسی می کند. در این اسکن، سونوگرافر می تواند ببیند آیا کودک به طور طبیعی رشد می کند و همچنین موقعیت جفت، بند ناف و مایع آمنیوتیک اطراف نوزاد را بررسی می کند. این اسکن همچنین به عنوان اسکن مورفولوژی یا اسکن هفته 20 بارداری شناخته می شود. مهم است که توجه داشته باشید هدف از این اسکن، بررسی سلامت کودک شما و تعیین جنسیت کودک است.
هدف اصلی از اسکن آنومالی این است که اجازه دهیم که سونوگرافر رشد کودک و سلامت اندام های حیاتی بدن و ساختار قسمت های مختلف بدن را بررسی کند. اسکن برای شناسایی و ارزیابی هر اختلال قابل توجهی که کودک ممکن است در هر یک از قسمتهای بدن داشته باشد استفاده می شود. انجام اسکن اولتراسوند در اواسط بارداری برای کنترل رشد خوب و سلامتی فرزند توصیه می شود. تمرکز معمولا بر روی اندام هایی نظیر مغز، قلب، کلیه ها، نخاع و محل قرارگیری جفت در رحم است.
چرا باید سونوگرافی آنومالی انجام شود؟
همانطور که در بالا ذکر شد، یک اسکن آنومالی برای تعیین رشد و سلامت کودک شما انجام می شود. لازم نیست که این اسکن انجام شود، اما به شدت توصیه می شود که رشد فرزندتان را نظارت کنید. اسکن آنومالی فرصتی برای والدین برای دیدن فرزند در رحم است.
سونوگرافی آنومالی چه زمانی انجام می شود؟
اسکن آنومالی در سه ماهه دوم بارداری انجام می شود. این اسکن در حدود هفته 20 بارداری انجام می شود. این آزمایش اولتراسوند بارداری هفته 18 تا 23 می تواند اطمینان حاصل کند که رشد کودک طبیعی است و تمام اندام های حیاتی به درستی در حال رشد هستند.
نحوه آماده شدن برای سونوگرافی آنومالی چیست؟
سونوگرافی آنومالی در دوران بارداری یک روند عادی است و به هیچ وجه آماده سازی خاصی نمی خواهد. در اینجا چند نکته وجود دارد که می تواند به اسکن سریع، راحت و کارآمد کمک کند:
- توصیه می شود قبل از اسکن استراحت کنید. قبل از اسکن خود را زودتر به مرکز تشخیص برسانید و ریلکس کنید.
- برای این سونوگرافی، بهتر است مثانه پر باشد، زیرا اسکن با مثانه خالی انجام نمی شود. اگر مثانه شما به اندازه کافی پر نباشد، مجبورید کمی بیشتر صبر کنید.
- مانند بسیاری از اسکن های معمول بارداری، اسکن آنومالی مستلزم آن است که شکم را از ناحیه ناف تا استخوان لگن در معرض اسکن قرار دهید و از این رو توصیه می شود لباسی بپوشید که را به راحتی تنظیم شود.
- همچنین باید قبل از تست کفش پاشنه بلند خود را درآورید بنابراین بهتر است از چنین کفش هایی اجتناب شود.
- ممکن است لازم باشد در طول اسکن جواهرات را باز کنید.
- تمام گزارش های آزمایشی قبلی و مدارک پزشکی خود را همراه داشته باشید تا در صورت لزوم به راحتی در دسترس باشند.
سونوگرافی آنومالی چگونه انجام می شود؟
زمان انجام سونوگرافی آنومالی بهتره هفته 18 بارداری باشه. اسکن یک تصویر سیاه و سفید از جنین شما نشان می دهد. اسکن انجام شده معمولا دوبعدی می باشد و فقط می توانید یک طرف بدن نوزاد را ببینید، اما در اسکن سه بعدی یا 4 بعدی می توانید یک تصویر درست از بدن کودک خود و از زوایای مختلف ببینید.
سونوگرافی وضعیت کلی بدن کودک را نشان می دهد. سونوگرافر رشد کودک را بررسی کرده و ناهنجاری ها (اگر وجود داشته باشد) را بررسی می کند. اسکن به تشخیص تعداد جنین کمک می کند و سونوگرافر نیز قطعات بدن جنین را برای اطمینان از رشد طبیعی اندازه گیری می کند.اسکن آنومالی یا اسکن اولتراسوند از امواج صوتی برای تولید تصاویر درون بدن استفاده می کند. سونوگرافر یک ژل پایه آب را در قسمت هایی که نیاز به سونوگرافی دارد اعمال می کند و از یک مبدل برای جمع آوری امواج صوتی استفاده می کند. این امواج توسط رایانه برای ایجاد یک تصویر از کودک شما مورد استفاده قرار می گیرد. به طور معمول، در این فرایند هیچ تابش اشعه ای وجود ندارد، زیرا آزمایش از اشعه یونیزه استفاده نمی کند. اسکن درد ندارد.
سونوگرافی آنومالی حدود 20 دقیقه برای تکمیل طول می کشد و سونوگرافر معمولا اجازه می دهد نگاهی به اسکن بیندازید و به بخش های مختلف بدن کودک و همچنین ضربان قلب او اشاره می کند.
مقاله پیشنهادی اوما: آزمایش، تفسیر و هزینه غربالگری سه ماهه اول بارداری
سونوگرافی آنومالی چه چیزی را تشخیص می دهد؟
هدف اصلی این اسکن اطمینان از رشد کودک بدون هیچ گونه مشکلی است. سونوگرافر آنومالی در طول اسکن موارد زیر را بررسی می کند:

1- سونوگرافر ضربان قلب جنین
سونوگرافر ضربان قلب جنین در حال رشد و عملکرد درست آن را بررسی می کند. تمام شریان ها و رگ های خونی که خون را از قلب حمل می کنند بررسی می شود.
2- چهره جنین
چهره جنین برای شکاف لب بررسی می شود. با این حال، تشخیص شکاف لب دشوار است و ممکن است همیشه در طول اسکن برداشت نشود.
3- بررسی کلیه ها
سونوگرافر کلیه های جنین و پر یا خالی بودن مثانه او را بررسی می کند. در صورتی که مثانه در ابتدای آزمایش خالی باشد، در صورت پر شدن آن در طول اسکن مشاهده آسان تر می شود.
4- بررسی سر جنین
شکل سر کودک شما نیز بررسی می شود و مشکلات مغزی، در صورت وجود، شناسایی می شوند.
5- برسی ستون فقرات جنین
سونوگرافر بررسی می کند آیا ستون فقرات کودک به درستی در حال رشد است یا خیر و آیا پوست پشت ستون فقرات را به درستی پوشش می دهد یا خیر.
6- برسی دست و پا جنین
سونوگرافر همچنین دست ها، پاهای کودک را بررسی می کند تا اطمینان حاصل شود که آنها به درستی رشد می کنند.
7- برسی شکم جنین
دیواره شکم بررسی خواهد شد تا اطمینان حاصل شود تمام اندام های جلویی را پوشش می دهد. سونوگرافر نیز به معده کودک نگاه می اندازد.
8- بررسی مایع امنیوتیک
سونوگرافر مایع آمنیوتیک پیرامون نوزاد را بررسی می کند تا مطمئن شود به قدر کافی مایع وجود دارد.
9- بررسی موقعیت جنین
موقعیت جفت در حین سونوگرافی نیز بررسی می شود. در صورتی که جفت در قسمت پایین رحم قرار داشته باشد، پزشک این موضوع را به شما اطلاع خواهد داد. این وضعیت به عنوان افتادگی جفت شناخته شده است، و در سه ماهه سوم سونوگرافی دیگری برای مشاهده محل جفت در رحم و اطمینان از دور بودن آن از دهانه رحم توصیه می شود. جفت پایین حتی در سه ماهه سوم ممکن است خونریزی بیش از حد را در هنگام زایمان ایجاد کند، اما جفت پایین در طول هفته 18-20 بارداری باعث ایجاد نگرانی نمی شود.
همچنین سونوگرافر همچنین قسمت های بدن کودک شما را در حین اسکن اندازه گیری می کند و این قسمت ها را با رشد استاندارد در آن دوران بارداری مقایسه می کند. سونوگرافر اغلب در سونوگرافی آنومالی قسمت های زیر را بررسی می کند:
- دور سر (HC)
- دور شکم (AC)
- استخوان ران (FL)
- بررسی مقدار طبیعی بزرگترین قطر جنین (BPD)
آیا سونوگرافی آنومالی می تواند به مادر یا کودک آسیب برساند؟
بر خلاف اشعه ایکس، اسکن آنومالی از تابش یونیزه استفاده نمی کند و از این رو برای مادر یا نوزاد مضر نیست. همچنین سونوگرافر به منظور اطمینان از رضایت مادر در هنگام اسکن اقدامات احتیاطی انجام می دهد. استفاده از ژل و استفاده از مبدل می تواند فرایند اسکن را کمی ناراحت کننده کند اما این مسئله در حین اسکن مضر یا دردناک نیست.
یک لیست از مشاهدات که سونوگرافر در طول اسکن بررسی می کند ذکر شده است و جنین را از نوک سر تا انگشت پا بررسی می کند. ناهنجاریهای جنینی شناسایی شده ممکن است عادی باشد و پس از تولد فرزند شما درمان شود. اگر ناهنجاری ها شدید باشند، به اقدام فوری نیاز خواهند داشت. در اینجا برخی از ناهنجاری هایی که در اسکن غیرعادی دیده می شود، ذکر شده است:
- شکاف لب
- اسپینا بیفیدا (نقص نخاعی)
- مشکلات قلبی
- مشکلات کلیه
- از دست دادن بالای سر
- مشکلات اندام (به عنوان مثال - اندام کوتاه)
در حالی که سونوگرافی با هدف پیدا کردن ناهنجاری ها انجام می شود، تشخیص آن ها در کودک آسان نیست. به عنوان مثال، اگر مشکل با دیواره شکم، کلیه ها، اندام یا نخاع وجود داشته باشد، اسکن می تواند آن ها را شناسایی کند. اما احتمال تشخیص نقص در قلب، ارزیابی اینکه آیا یک سوراخ در عضله وجود دارد که سینه و شکم را جدا می کند یا تشخیص مایع اضافی در مغز، نسبتا کمتر است. در صورت تشخیص اختلال، ممکن است فرد سونوگرافر گزارش را به فرد دیگری منتقل کند تا تأیید مشاهدات انجام شود و سپس درباره برنامه اقداماتی که باید دنبال شود بحث می شود.
آیا سونوگرافی آنومالی دقیق است؟
نتایج سونوگرافی آنومالی نشان دهنده پیشرفت کودک در رحم و کمک به تعیین گراف رشد فرزند است. نتایج نشان می دهد که کودک در حال رشد به طور عادی و به طور معمول در سرعت های معمول در حال رشد است. در صورت نقص، دکتر شما در مورد اقدام اصلاحی که می تواند برای حل هر گونه انحراف کودک از گراف رشد منظم مورد بحث قرار گیرد بحث خواهد کرد.
سونوگرافی اولتراسوند در اواسط بارداری بسیار مهم است زیرا به تعیین رشد کودک و کمک به تشخیص زود هنگام بیماری هایی که کودک در حال رشد دارد کمک می کند. سونوگرافی آنومالی معمولا دقیق هستند و تصویری واضح نشان می دهند. با این حال، همیشه لازم نیست که اسکن 100٪ دقیق باشد و نتایج صحیح را در همه زمان ها نشان دهد.
این به این دلیل است که تشخیص ناهنجاری ها در کودک، مخصوصا در اندام های حیاتی، دشوار است و یک اسکن آنومالی ممکن است مشابه باشد یا خیر. همچنین ممکن است سونوگرافر چندین بار شکم را اسکن کند تا تصویر واضحی از جنین داشته باشد. معمولا به والدین گفته می شود نتایج اسکن ممکن است 100٪ دقیق نباشد.
مقاله پیشنهادی اوما: همه چیز درباره غربالگری سه ماهه دوم بارداری
تفسیر آنلاین سونوگرافی آنومالی
برای تفسیر سونوگرافی آنومالی در بارداری، ابتدا اپلیکیشن بارداری اوما را نصب کنید و سپس با ارسال فرستادن عکس های مربوط به سونوگرافی و آزمایشات ، نتایج توسط متخصصین اوما تفسیر خواهد شد.
لازم است بدانید گزارش سونوگرافی آنومالی همیشه 100٪ دقیق نیست و مشاهدات ممکن است همیشه درست نباشد. همچنین توجه داشته باشید که شانس شناسایی یک مشکل شدید در این مرحله نادر است. با این حال، در صورتی که مشکلی مشخص شود، به شما در مورد چگونگی مقابله با آن و اقداماتی که باید انجام دهید، راهکار ارائه می شود. در صورت تشخیص هر گونه مشکل، می توانید مراحل زیر را انتظار داشته باشید:
1- ممکن است شرایطی وجود داشته باشد که سونوگرافر قادر به دیدن همه چیز نباشد زیرا موقعیت کودک در اسکن مناسب نیست. همچنین اسکن ممکن است در صورت اضافه وزن دقیق نباشد زیرا چربی بدن میتواند با سونوگرافی تداخل داشته باشد. در چنین شرایطی، ممکن است مجبور شوید دوباره در هفته 23 اسکن کنید.
در صورتی که سونوگرافر متوجه شود مشکلی وجود دارد، شما بلافاصله مطلع خواهید شد و توصیه می شود یک متخصص را در عرض 72 ساعت پس از نتیجه اسکن ببینید.
2- در صورت سوء ظن به مشکل قلبی، ممکن است از شما خواسته شود اسکن اکوکاردیوگرافی جنین انجام دهید. این اسکن نگاه دقیقی به قلب کودک شما خواهد داشت.
3- پزشک شما راه حل مناسب برای مشکل تشخیص داده شده ارائه می کند. این راه حل به شدت مشکل یا مرحله مشکل بستگی دارد. راه حل معمولا شامل جراحی کودک بعد از تولد است. در صورت بروز مشکلات شدید، ممکن است برخی از جراحی ها در حالی انجام شود که کودک در رحم است.
دیدن نوزاد شما در داخل رحم یک تجربه منحصر به فرد برای والدین است. در بیشتر موارد، می توانید همراه با همسر خود در هنگام اسکن حضور داشته باشید. مراکز تشخیصی که این سونوگرافی را انجام می دهند معمولا تصاویر و کپی های ویدئویی اسکن را برای شما تهیه می کنند.
انجام سونوگرافی آنومالی همیشه توصیه می شود زیرا نقش مهمی در اطمینان از رشد طبیعی کودک دارد.
تصاویر مختلف سونوگرافی آنومالی

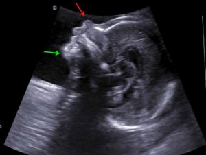
این تصویر نمونه ای از بررسی جنین در هفته 21 بارداری است. می توانید به راحتی پیشانی، بینی (فلش قرمز)، لب ها و چانه (فلش سبز)، پس گردن و بخشی از قفسه سینه را شناسایی کنید.

این تصویر مقطعی از سر جنین در سطح بطن مغزی جانبی در طول آزمایش در هفته 21 بارداری را نشان میدهد. اندازه گیری BPD (قطر دو طرفه)، HC (دور سر) و VP (شاخ خلفی بطن جانبی) باید دقیقا در این دیدگاه مغز جنین انجام شود. آناتومی مغز جنین نیز باید بررسی شود. فلش قرمز به خط اکوژنیک CNS متصل است که به طور معمول مغز را به دو نیمکره تقسیم می کند. فلش سبز به قسمت خلفی بطن جانبی اشاره می کند، که باید اندازه گیری شود (اندازه طبیعی کمتر از 10 میلی متر است).

این تصویر در حال بررسی سطح مقطع جنین در سطح مخچه (CRBL) در هفته 21 بارداری را نشان میدهد. قطر مخروطی مرزی (خط سبز) و اندازه cisterna magna (فلش قرمز) باید در این نقشه اندازه گیری شود. آناتومی مغزی در قسمت خلفی مغز جنین نیز باید اندازه گیری شود.

این تصویر در حین آزمایش در هفته 20 حاملگی گرفته شد. می توانید تمام ستون فقرات جنین را در نقشه طولی مشاهده کنید، که در آن بدن و دیواره های مهره ای یک تصویر با ظاهر شبیه به یک راه ایجاد می کند.

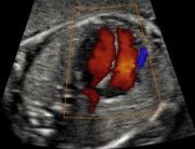
این تصویر در حال ارائه معاینه داپلر (نقشه رنگی) قلب جنین در هفته 22 است. رنگ قرمز جریان خون را از دهان به بطن چپ در طی دیاستول قلب نشان می دهد.

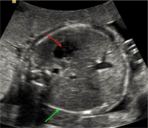
این تصویر مقطع عرضی شکم جنین را در هفته 22 نشان می دهد. این دیدگاه برای اندازه گیری ابعاد دور شکم (AC) مورد استفاده قرار می گیرد. فلش قرمز اشاره به معده (حباب سیاه) دارد. فلش سبز به قفسه سینه جنین اشاره دارد.

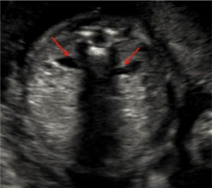
این تصویر نشان دهنده مقطع عرضی شکم جنین در هنگام بررسی کلیه های جنین در هفته 22 بارداری است. می توانید ستون فقرات (مثلث سفید) را در بالای تصویر و کلیه های جنین رت در هر دو طرف ببینید. هر دو اكوژنيك (رنگ) كليه و اندازه لگن كليوي (فلش قرمز) بايد مورد ارزيابي قرار گيرند. اندازه طبیعی لگن جنین در هفته 22 کمتر از 5 میلی متر است.

در این تصویر می توانید دست باز جنین را در هنگام بررسی جنین در هفته 20 ببینید. می توانید کف دست و تمام پنج انگشت را مشاهده کنید.

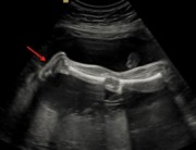
این تصویر پای جنین را در هفته 21 بارداری نشان میدهد. فلش قرمز اشاره به پای جنین دارد.

این تصویر نشان دهنده پای جنین در هفته 21 است. می توانید شست (پیکان قرمز)، انگشتان پا و پاشنه را به وضوح تشخیص دهید.
تهیه و تنظیم: گروه سلامت اوما
منبع: parenting.firstcry.com و www.profema.cz









