
همه مادران در طول بارداری و طبق برنامه ریزی و توصیه پزشک باید سونوگرافی هایی را انجام دهند. بعضی از سونوگرافی ها مثل سونوگرافی شکمی و سونوگرافی واژینال بسیار معمول هستند و برای هر بارداری طبیعی در طول نه ماه و یا حتی از قبل از بارداری برای بررسی شرایط مادر استفاده می شوند. اما برخی از سونوها نیز تخصصی تر هستند و در طول بارداری در صورت وجود علائم و شرایط خاص، پزشک برای بررسی دقیق تر آن را تجویز می کند. یکی از این ها سونوگرافی NT می باشد که سندرم داون را بررسی می کند.
در این مقاله می خواهیم شما اومایی عزیز را به طور کامل با این نوع سونوگرافی آشنا کنیم تا با افزایش اطلاعاتتان نگرانی کمتری برای انجام آن داشته باشید. پس تا پایان مقاله را مطالعه بفرمایید.
سونوگرافی NT چیست؟
آمادگی قبل از سونوگرافی nt
تفسیر سونوگرافی NT
طول فرق سر تا کفل (CRL) چیست؟
در سونوگرافی nt جنسیت مشخص میشود؟
در سونوگرافی nt چه چیزهایی مشخص میشود؟
استخوان بینی جنین (nb) در سونوگرافی NT
سونوگرافی NT چیست؟
همان طور که اشاره کردیم سونوگرافی NT برای بررسی سندرم داون استفاده می شود. این عکس برداری با استفاده از جمع آوری مایع پشت گردن جنین انجام می شود. این سونوگرافی معمولا در زمان های زیر توصیه می شود:
- هفته یازدهم تا سیزدهم بارداری
- هنگامی که طول جنین ( crl ) بین 45 تا 84 میلی متر است.
نکته مهم:
تمام نوزادان پشت گردنشان مایع دارند اما در جنینی که سندرم داون دارد این مایع بیشتر است.
چرا سونوگرافی NT انجام می شود؟
سونوگرافی ان تی برای تمام خانم های باردار توصیه می شود تا سندرم داون در جنین بررسی شود. البته این سونوگرافی فقط میزان احتمال سندرم داون را تخمین می زند و به طور صد در صد بیماری را مشخص نمی کند. اما در صورت بالا بودن احتمال سندرم داون آزمایشات بعدی مثل آزمایشات نمونه برداری از پرزهای جفتی و آمنیوسنتز به طور قطعی سندرم داون را مشخص می کند.
متاسفانه این آزمایشات، احتمال سقط جنین را افزایش می دهد. سونوگرافی NT یا به تنهایی انجام می شود یا همراه با آزمایش خون باید انجام شود. توجه داشته باشید هرچه فرد انجام دهنده آزمایش با تجربه تر باشد خطرات و عوارض آزمایش ها نیز کمتر می شود.
آمادگی قبل از سونوگرافی nt
- سونوگرافی NT در زمانی مشخص یعنی بین هفته یازده و سیزدهم یا هنگامی که طول جنین بین 45 تا 84 میلیمتر می باشد، انجام می شود. انجام سونوگرافی NT زودتر از این موقع دشوار است زیرا جنین بسیار کوچک می باشد. همچنین بعد از هفته چهاردم بارداری، مایع اضافی پشت گردن جنین توسط سیستم لنفاوی جذب می شود بنابراین نتایج سونوگرافی NT دقیق نمی باشد.
- اسکن NT از طریق شکم با استفاده از تجهیزات سونوگرافی معمولی انجام می شود. سونوگرافیست ژلی بر روی شکم قرار می دهد و با استفاده از دستگاه بر روی پوست شکم اسکن را انجام می دهد. این کار درد ندارد. اما اگر سونوگرافیست برای نمایش بهتر، دستگاه را فشار دهد احساس درد می کنید.
- گاهی اوقات سونوگرافی از طریق شکم سخت می باشد به همین دلیل از سونوگرافی واژینال استفاده می شود. این حالت زمانی پیش می آید که رحم به پشت چسبیده باشد یا مادر اضافه وزن دارد. سونوگرافی واژینال برای مادر و جنین دقیق تر است و مشکلی ایجاد نمی کند.
- برای تعیین زمان دقیق بارداری، سونوگرافیست اندازه جنین را از طریق اندازه گیری آن از بالای سر تا پایین ستون فقرات انجام می دهد. سپس عرض مایع پشت گردن جنین اندازه گیری می شود. پوست جنین به صورت خط سفیدی می باشد و مایع پشت گردن به رنگ سیاه است.
- سر، ستون فقرات، اندام، دست و پای جنین بر روی صفحه نمایش دیده می شود. اختلالاتی مانند مشکلات دیواره شکم و جمجمه نیز بر روی صفحه نمایش دیده خواهد شد. اما جزئیات بیشتر پس از هفته هجدهم تا بیستم قابل مشاهده است.
مقاله پیشنهادی اوما: آزمایش، تفسیر و هزینه غربالگری سه ماهه اول بارداری
تفسیر سونوگرافی NT
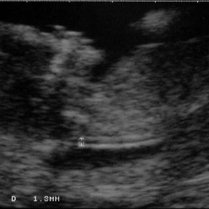
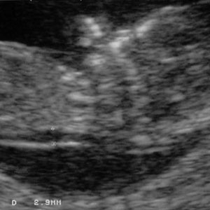
هنگامی که جنین بین 45 تا 84 میلیمتر طول دارد، NT کمتر از 3.5 میلیمتر طبیعی است. NT با رشد جنین افزایش می یابد. تصاویر زیر مقادیر مختلف NT را نشان می دهد.
NT= 1.3 mm :

NT= 2.9 mm:

- جنین با NT =1.3 میلی متر یا کمتر در معرض خطر نیست. اما افزایش NT نیز همیشه به معنی وجود مشکل نیست. در برخی موارد که جنین سندرم داون ندارد نیز مایع پشت گردن آن زیاد است. به همین دلیل پزشک در صورت مشکوک بودن آزمایشات بعدی را برای اطمینان انجام می دهد.
- جنین با NT=2.9 میلی متر هنوز در محدوده طبیعی است.
- جنین با NT بین 2.9 میلیمتر تا 3.5 میلیمتر، با احتمال بسیار کم در معرض خطر سندرم داون می باشد.
NT= 6 mm:

- با افزایش NT نوزاد بیشتر در معرض خطر سندرم داون و سایر مشکلات کروموزومی قرار می گیرد.
- جنین با NT=6 میلیمتر در معرض خطر زیادی است. همچنین این جنین در معرض مشکلات قلبی و اختلالات کروموزومی نیز می باشد.
- خوشبختانه بیشتر جنین ها در این حد مایع پشت گردنی ندارند.
طول فرق سر تا کفل (CRL) چیست؟
این طول برای اندازه گیری بارداری های زودرس بسیار مفید است. CRL تنها معیار و اندازه دقیق سن حاملگی است. از 6 تا 11 هفتگی، CRL با سرعت حدود 1 میلی متر در روز رشد می کند.
سن حاملگی = (6 هفته به اضافه x CRL روز). به عنوان مثال، CRL برابر با 23 میلی متر مربوط به سن حاملگی 9 هفته و دو روز (6 هفته به اضافه 23 روز= 9 هفته و 2 روز) می باشد. اما دقت CRL پس از هفته 12 کاهش می یابد و اندازه گیری با استفاده از عرض جنین جایگزین آن می شود.
ارزیابی CRL:
- زمانی که CRL بین 45-84 میلیمتر (6-11-3 هفته) باشد مقادیر به دست آمده برای غربالگری در سه ماهه اول بارداری استفاده می شود.
- ضخامت ارتباط مستقیمی با بروز ناهنجاری های کروموزومی و دیگر ناهنجاری ها دارد.
- معمولا در ضخامت کمتر از 2.2-2.8 میلی متر خطری نوزاد را تهدید نمی کند.
در سونوگرافی nt جنسیت مشخص میشود؟
اگرچه از هفته ۱۱ بارداری با احتمال ۹۰ درصد در صورت قرار گیری درست جنین میتوان جنسیت را تعیین کرد، ولی دقیق ترین زمان تعیین جنسیت با سونوگرافی هفته 16 به بعد بارداری می باشد. در این زمان پزشک با دیدن آلت تناسلی جنین توسط سونوگرافی به صورت دقیق جنسیت جنین را تعیین می کند. گاهی اوقات بسته به حالت جنین در شکم مادر تعیین جنسیت جنین دشوار خواهد شد.
در سونوگرافی nt چه چیزهایی مشخص میشود؟
در تمام جنین ها احتمال سندرم داون وجود دارد. اما احتمال این مشکل با افزایش سن مادر بیشتر می شود. در برخی کشورها، آزمایش خون همراه با سونوگرافی NT انجام می شود تا اطلاعات دقیق تری به مادر داده شود.
خوشبختانه بیشتر مادرهایی که احتمال سندرم داون در آنها زیاد است، جنینی بدون سندرم داون به دنیا می آورند. اما آزمایشاتی که نشان می دهد احتمال سندرم داون در مادر زیاد است باعث نگرانی مادر می شوند. اگر احتمال سندرم داون در شما زیاد باشد، پزشک شما را به پریناتولوژیست معرفی می کند تا با انجام آزمایشات بعدی به بررسی دقیق مشکل شما بپردازند.
روش قطعی تشخیص سندرم داون انجام آزمایشات نمونه برداری از پرزهای جفتی و آمنیوسنتز می باشد. البته احتمال سقط جنین با آزمایش نمونه برداری از پرزهای جفتی وجود دارد بنابراین تصمیم گرفتن برای انجام آزمایش کاری دشوار است.
یکی از مزایای انجام آزمایش خون به همراه سونوگرافی NT انجام آن در ماه های اول بارداری می باشد بنابراین به شما زمان کافی برای تصمیم گیری برای مراحل بعدی داده می شود. می توانید در ماه اول بارداری آزمایش نمونه برداری از پرزهای جفتی و یا در هفته پانزدهم بارداری، آزمایش آمنیوسنتز را انجام دهید. تیم پزشکی به شما اطلاعات کافی درباره آزمایشات را می دهد و مشکلات بعدی که در رشد نوزاد ایجاد می شود را برای شما توضیح خواهد داد تا با آگاهی دقیق تصمیم بگیرید.
سایر ناهنجاری های قابل شناسایی با سونو ان تی:
مادر ممکن است در معرض سندرم پاتو یا سندرم ادواردز نیز باشد. این سندرم ها از سندرم داون نادرتر می باشند و باعث سقط جنین می شوند. بنابراین با انجام سونوگرافی NT در صورت وجود این مشکلات می توانید ناهنجاری های جنین ناشی از سندرم پاتو و ادواردز را مشاهده کنید.
غربالگری سه ماهه اول بارداری چقدر دقیق است؟
غربالگری سه ماهه اول، یک روش دقیق تر برای ارزیابی خطر اختلالات کروموزوم در دوران بارداری است. استفاده از سن مادر تنها برای تشخیص سندرم داون در 30٪ نوزادان موثر است. این آزمون کم دقت ترین تست غربالگری برای سندرم داون است. اما استفاده از سونوگرافی ان تی 70-80٪ نوزادان مبتلا به سندرم داون را تشخیص خواهد داد. استفاده از غربالگری ترکیبی سه ماهه اول (سونوگرافی و آزمایش های خون) نیز 80-90٪ نوزادان مبتلا به سندرم داون را تشخیص می دهد.

آیا در سونوگرافی ان تی نیاز است مثانه من پر باشد؟
اگر طی سونوگرافی مثانه پر باشد، معمولا تصاویر بهتری خواهیم داشت. بنابراین لطفا 1 ساعت قبل از قرار ملاقات خود مثانه را خالی کنید، 2 لیوان آب بنوشید و تا بعد از قرار ملاقات مثانه را خالی نکنید. مثانه پر روده را از داخل لگن به شکم حرکت می دهد و به عکس برداری بهتر از رحم و دهانه رحم کمک می کند. البته حواستان باشد مثانه شما نباید خیلی پر باشد زیرا باعث درد می شود. اگر مثانه شما خیلی پر است و درد دارید، مقدار کمی از آن را خالی کنید تا راحت شوید. پس از اتمام سونوگرافی شکمی و قبل از شروع سونوگرافی واژینال باید مثانه را خالی کنید.
استخوان بینی جنین (nb) در سونوگرافی NT
تست ان تی استخوان بینی جنین را نیز بررسی می کند. در چند سال گذشته دیده شده است که در حدود 3 نوزاد از 4 مبتلا به سندرم داون، در زمان آزمایش غربالگری سه ماهه اول، استخوان بینی نداشتند. اگر استخوان بینی در اسکن قابل مشاهده باشد، این امر احتمال ابتلا به سندرم داون را کاهش می دهد. استخوان بینی باید سه خط مجزا را نشان دهد:
- دو خط اول، افقی و موازی با یکدیگر هستند، شبیه یک علامت مساوی است. خط بالا نشان دهنده پوست و خط پایین نشان دهنده استخوان بینی است.
- خط سوم، تقریبا در تداوم با پوست، اما در سطح بالاتر، نشان دهنده نوک بینی است.
- گاهی اوقات استخوان بینی در هفته 11 بارداری دیده نمی شود زیرا خیلی زود است و هنوز تشکیل نشده است. بنابراین معیار دقیقی نیست.
اگر این اتفاق رخ دهد و باعث ایجاد نگرانی شود، اسکن یک هفته بعد تکرار می شود. با این حال اگر استخوان بینی به وضوح دیده نشود، اما اسکن ان تی و آزمایشات خون مشکلی را پیش بینی نکنند، نیازی به مشاهده استخوان بینی نیست.
مشکلات دیگر
ضخیم شدن مایع ان تی ممکن است به دلیل بروز ناهنجاری هایی دیگر مانند موارد زیر نیز باشد:
- آنوپلوئیدی
- تریسومی (از جمله سندرم داون)
- سندرم ترنر
- نقص ساختاری و سندرم های ساختاری غیر آنوپلوئیدی
- فتق دیافراگم مادرزادی
- بیماری قلبی مادرزادی
سخن آخر
در دوران بارداری ممکن است همه چیز آن طور که شما پیش بینی می کردید اتفاق نیفتد. بنابراین بهتر است از قبل خودتان را برای آن آماده کنید. البته این بدین معنی نیست که دائما استرس داشته باشید اما نباید طوری باشد که تا پزشک آزمایشی را برایتان تجویز می کند به کلی آرامشتان را ازدست بدهید و دچار شوک شوید. همچنین به پزشکتان اعتماد کنید و سعی کنید در تمام مراحل بهترین تصمیمی که به نفع خودتان و فرزندتان است را بگیرید.
BabyCentre Medical Advisory Board. Nuchal translucency (NT) scan.Last reviewed: September 2017










