
کیست تخمدان از بیماری های زنانه شایع در جهان است که روزانه افراد زیادی با آن درگیر هستند. بسیاری از انواع کیست ها هیچ علائم خاصی ندارند و حتی بصورت طبیعی و خود به خود از بین می روند. اما برخی از آن ها نیز با علائمی مثل درد یا خونریزی همراه هستند و باید تحت درمان با دارو و یا جراحی قرار بگیرند. زیرا می توانند منجر به ناباروری شوند. یکی از انواع کیست های تخمدان کیست هموراژیک است که در این مقاله می خواهیم شما اومایی های عزیز را به طور کامل با آن آشنا کنیم تا در صورت ابتلا با آگاهی لازم برای درمان اقدام نمایید.
در این مقاله می خوانیم:
علت کیست هموراژیک تخمدان
روش های درمان کیست تخمدان هموراژیک
ظاهر کیست تخمدان هموراژیک در سونوگرافی
کیست هموراژیک بدخیم است
تشخیص تفاوت های انواع کیست هموراژیک
علت کیست هموراژیک تخمدان
کیست تخمدان هموراژیک در خانم هایی که هنوز به یائسگی نرسیده اند رخ می دهد. این کیست در حین تخمک گذاری ایجاد می شود و هنوز دلیل مشخصی برای علت ایجاد آن پیدا نشده است. درمان کیست تخمدان هموراژیک بستگی به اندازه کیست و علایم آن دارد.
دو تخمدان شما در دو طرف رحم قرار دارد. که هر کدام از آنها به اندازه یک بادام هستند. تخمک ها نیز در تخمدان ها رشد کرده و بالغ می شوند و طی دوره های ماهیانه در طول سال های باروری آزاد می شوند. کیست تخمدان کیسه های پر از مایع در داخل یا روی سطح تخمدان است. کیست تخمدان هموراژیک نیز در طی تخمک گذاری زمانی ایجاد می شود که تخمک از طریق فولیکول تخمدان بدون ایجاد پارگی و خروج مایع از فولیکول آزاد می شود و باعث تبدیل فولیکول به کیست خواهد شد. همان طور که گفتیم پزشکان هنوز نمی دانند چرا این اتفاق می افتد.
روش های درمان کیست تخمدان هموراژیک
- داشتن کیست تخمدان هموراژیک لزوما یک مشکل نیست و در بیشتر موارد این کیست ها بدون هیچ علائمی به وجود می آیند و اغلب طی آزمایش لگنی مانند سونوگرافی یافت می شوند. اگر كیست كوچك یا متوسط باشد و باعث ایجاد درد و یا علائم دیگر نشود، پزشک پیگیری سونو را توصیه می كند. این نظارت معمولا شامل سونوگرافی بصورت دوره ای و هرچند ماه یک بار است تا اندازه کیست مورد بررسی قرار گیرد و به طور معمول هیچ درمان دیگری لازم نیست. در بسیاری از موارد، کیست در طی چند ماه خود به خود از بین می رود. مگر اینکه به هر دلیلی کیست رشد کرده باشد و نیاز به شروع درمان باشد.
- اگر یک کیست بزرگتر از 10 سانتیمتر باشد و با علائمی مثل درد، احساس پری در ناحیه لگن و موارد دیگر همراه باشد، پزشک جراحی را به شما توصیه می کند. خوشبختانه برخی از کیست ها را می توان بدون خارج کردن کل تخمدان و آسیب به باروری خارج کرد. اما در صورتی که کیست به تخمدان آسیب رسانده باشد و هیچ بافت سالمی باقی نمانده باشد، جراح تمام تخمدان را نیز خارج می کند.

- به طور کلی، کیست های هموراژیک اثر منفی بر باروری ندارند. حتی اگر نیاز به خارج کردن یک تخمدان باشد، تا زمانی که تخمدان دیگر سالم باقی بماند، می توانید باردار شوید. البته این حالت در صورتی است که سایر مسائل بر باروری تاثیر نگذارند. تنها زمانی کیست تخمدان هموراژیک (درمان کیست تخمدان با 18 توصیه آسان) بر باروری تاثیر می گذارد که کیست به هر دو تخمدان آسیب رسانده باشد و نیاز به جراحی و برداشتن هر دو تخمدان باشد.
- هیچ روش اثبات شده ای برای جلوگیری از رشد کیست های تخمدان هموراژیک وجود ندارد. بعضی از شواهد نشان می دهد سرکوب تخمک گذاری با استفاده از قرص های ضد بارداری خطر کیست تخمدان را کاهش می دهد. اما این روش همیشه موثر نیست. همچنین این قرص ها دارای عوارض جانبی دیگری نیزی هستند.
- بررسی منظم لگن با استفاده از سونوگرافی روشی مناسب برای بررسی تخمدان ها و تغییرات آن ها می باشد. در کنار این آزمایشات، به تغییرات چرخه ماهیانه خود از جمله علائم غیر طبیعی قاعدگی نیز توجه کنید. این علائم شامل درد شدید لگن، احساس پری یا سنگین در لگن و درد در هنگام رابطه جنسی یا در طول حرکت روده می باشند.
- هنگامی که یک فولیکول گرافین برای آزادسازی یک تخمک از هم می پاشد، به یک جسم زرد تبدیل می شود. جسم زرد توسط یک لایه از سلول های گرانولوزی که دارای رگ می باشند، پوشانده شده است. برخی از این رگ های نازک دیواره می توانند پاره شوند. این مسئله نیز سبب خونریزی در جسم زرد و تشکیل کیست هموراژیک تخمدان می شود.
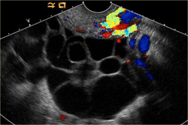
ظاهر کیست تخمدان هموراژیک در سونوگرافی
ظاهر کیست تخمدان هموراژیک بستگی به مرحله تشکیل و مدت زمان تشکیل کیست دارد. کیست می تواند یکی از شکل های زیر را داشته باشد:

1) الگوی رتیکل ریز
این کیست شایع ترین نوع کیست تخمدان هموراژیک است. در این نوع رشته های نازک فیبرین ظاهر شبکه ای ایجاد می کنند که الگوی رتیکل نامیده می شود.
2) ظاهر لخته ای شکل
فرآیند شکل گیری لخته و کیست تخمدان هموراژیک منجر به تشکیل یک لخته مثلثی در بخشی از کیست می شود و مایع سرمی اشباع باقی مانده کیست را پر می کند.
3) سطح سیال باقی مانده در کیست
این نوع نیز شکل دیگر کیست هموراژیک است که در سونوگرافی دیده می شود و مایع باقی مانده درون کیست است. این مایع باقیمانده توسط رسوب یا عناصر ریز در داخل کیست تخمدان هموراژیک تشکیل می شود.
4) پارگی کیست تخمدان هموراژیک
در این حالت ظاهر غیر معمول ایجاد شده، ناشی از پارگی کیست تخمدان هموراژیک است که باعث ایجاد خون در داخل لگن می شود. این حالت به صورت مایع اکوژنیک اطراف کیست و رحم می باشد. اگر خونریزی شدید باشد، ممکن است هموپیریتونوم خون درون کیسه مورینس نیز دیده شود. این شکل پارگی شبیه به بارداری خارج از رحمی می باشد.
5) کیست تخمدان هموراژیک شبیه به یک نئوپلاستیک تخمدانی جامد است!
این نوع نیز شکل دیگری از کیست تخمدان هموراژیک است که مواد اکوژنیک درون کیست را نشان می دهد و معمولا در طول دوره پس از قاعدگی با تشکیل لخته در داخل کیست ظاهر می شود. این شکل کیست شبیه به نئوپلاسم جامد تخمدان است. معمولا در سونوگرافی ها پس از 4 تا 6 هفته تغییرات چشمگیری در کیست هموراژیک دیده می شود.
کیست هموراژیک بدخیم است؟
کیست هموراژیک یا خونی تخمدان از جمله کیست های خوش خیم تخمدان است که در اثر اختلال موضعی عملکرد تخمدان ایجاد میشود. معمولا کیست های هموراژیک (خونی) تخمدان خطر خاصی ندارند و با مصرف قرص های جلوگیری و یا حتی بدون مصرف دارو بعد از مدتی خون داخل کیست جذب می شود و کیست از بین می رود، ولی گاها سایز کیست هموراژیک (خونی) تخمدان بسیار بزرگ می شود و ممکن است کیست در معرض پاره شدن و یا پیچ خوردگی تخمدان (تورشن) قرار گیرد و یا گاهی خونریزی داخل شکمی اتفاق می افتد که در این موارد باید بیمار به دقت تحت کنترل و بررسی قرار گیرد تا کیست برای بیمار مشکل حادی ایجاد نکند.
تشخیص تفاوت های انواع کیست هموراژیک
همیشه درد لگن حاد به معنی وجود کیست هموراژِک نیست. گاهی این مشکل به دلیل آپاندیسیت حاد و حاملگی خارج از رحم است. دیگر تشخیص های افتراقی مهم شامل چرخش تخمدان، PID (بیماری التهابی لگنی) و آدنیت مزانتریک است. از بین اینها، حاملگی خارج از رحم مهمترین بیماری است که مشابه کیست هموراژیک است. آزمایش خون بتای HCG سرمی با بررسی دقیق ساختارهای آدنکسال می تواند به تشخیص حاملگی خارج از رحم در کنار کیست هموراژیک کمک کند. همچنین آزمایش مثبت بتا هورمون HCG و آزمایش بارداری می تواند به تشخیص بارداری خارج از رحم و کیست تخمدان هموراژیک پاره شده کمک نماید.
آیا داشتن یکی از این کیست ها بر توانایی من در بارداری تأثیر می گذارد؟
کیست ها معمولا بر روی باروری خانم ها تاثیر نمی گذارند. مگر اینکه در موارد شدید به هر دو تخمدان آسیب رسانده باشند و نیاز به خارج کردن تخمدان ها باشد. البته برخی از کیست ها نیز در صورت شدید بودن و عدم درمان می توانند منجر به تاخیر بارداری یا ناباروری شوند. بنابراین بهتر است در صورت وجود کیست حتما تحت نظارت پزشک قرار بگیرید.
Joe Antony, MD. Hemorrhagic Ovarian Cyst: A Sonographic Perspective.October 9, 2011








