سلام دکتر جان بنده چند روزی بود سمت چپ و راست پهلوهام درد داشتم سمت راست بیشتر این درد به کمر و کشاله ران راستم هم کشیده میشد و سرگیجه به شدت عجیبی دارم مراجعه کردم دکتر برام سونو نوشتن گفتن سنگریزه داره کلیه راستم و کیست دارم در تخمدان چپ من برج ۲که متوجه شدم بارداری خارج از رحم هستم تو سونو گفتن کیست هم دارم به دکتر که گفتم بعد از جراحی چرا برنداشتن کیست رو گفت حتما لازم نبوده بعد از اون هم که کلی دکتر رفتم هیچ کدوم حتی بهم دارو هم ندادن برای رفع این کیست حالا این کیست بزرگ شده من میترسم که نکنه کارم مجدد به عمل بکشه باید چیکار کنم ارجاع دادن به دکتر زنان و اورولوژی تا بخوام برم پیششون ممنون میشم شما هم راهنماییم بفرمایید با تشکر🙏🏼🌹
0
1404/11/19
سوال کننده

0
1404/11/19
سوال کننده
سمت چپ شکمم که جراحی شده و لوله رو برداشتن و حالاهم که کیست بزرگتر شده خیلی درد دارم این درد به پام هم میزنه نمیدونم ربطی به عفونت واژینال هم میتونه داشته باشه باید پزشک ویزیتم کنن بعد بتونیم تصمیم بگیریم برای عفونت؟؟؟؟
0
1404/11/19
پزشک اوما
سلام به روی ماهتون عزیزم
سونوگرافی های قبلی را هم میتوانید ارسال کنید تا ببینم؟
سونوگرافی های قبلی را هم میتوانید ارسال کنید تا ببینم؟
0
1404/11/19
سوال کننده

0
1404/11/19
سوال کننده

0
1404/11/19
سوال کننده
خدمت شما دکتر عزیز
0
1404/11/21
پزشک اوما
جانم اگر در این سونوگرافی گفتند کیست دارید این نوع کیست جراحی نمیشود چون در واقع فولیکول های شما هستند که بزرگ نشده ریز مانده کیست در نظر گرفته میشود همان تنبلی تخمدان یا سندرم تخمدان پلی کیستیک هست اگر سونوگرافی دیگری دارید که گفته کیست دارید ارسال کنید تا ببینم
الان بابت این کیست باید ال دی بخورید 3 ماه بخورید بعد اتمام سونوگرافی را تکرار کنید از نظر عفونت هم حتما معاینه شوید
الان بابت این کیست باید ال دی بخورید 3 ماه بخورید بعد اتمام سونوگرافی را تکرار کنید از نظر عفونت هم حتما معاینه شوید
0
1404/11/21
سوال کننده
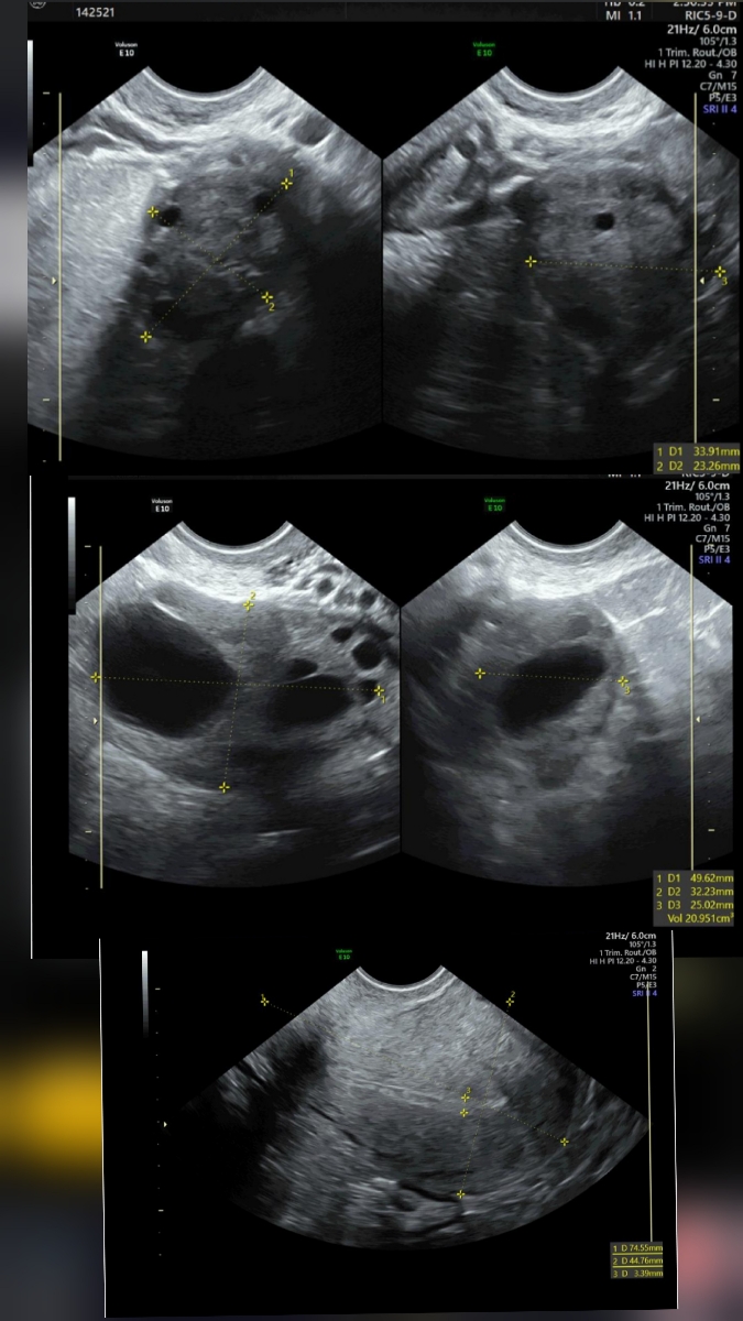
دکتر جان این سونوی جدید هست و گفتن کیست دارم
0
1404/11/21
سوال کننده
این سونو برای برج ۱هست که برای تایید epدادم و بهم گفتن کیست هم دارم
0
1404/11/21
سوال کننده

0
1404/11/21
سوال کننده
این هم برای برج ۱ به فاصله چند روز دادم چون پیش چندتا دکتر رفتم که تایید کنن هر کدوم جدا گانه فرستادن سونو
0
1404/11/21
پزشک اوما
عزیزم در سونوگرافی که در زمان بارداری خوارج رحمی فرستادید در یک مورد کیستهای ریز دیده شده که همان تنبلی تخمدان است که توضیح دادم و جراحی ندارد اصلاح سبک زندگی و دارو درمانی نیاز دارد سونوگرافی آخر که ارسال کردید هم کیست در تخمدان راست بوده که برطرف شده و الان کیست در تخمدان چپ دارید بنابراین کلا نیازی به جراحی نبوده است
0
1404/11/21
سوال کننده
مچکرم از پاسخگوییتون دکتر عزیز
خداروشکر که نیاز به جراحی نیست واقعا اسم عمل جراحی میاد سکته میکنم
دکتری که برام نوشته بود متخصص نبودن پزشکعمومی بودن گفتن اگه خدایی نکرده بزرگ شه و پاره شه خونریزی کنه خطر ناکه و نیاز به عمل داره بهمین خاطر ترسیدم
خداروشکر که نیاز به جراحی نیست واقعا اسم عمل جراحی میاد سکته میکنم
دکتری که برام نوشته بود متخصص نبودن پزشکعمومی بودن گفتن اگه خدایی نکرده بزرگ شه و پاره شه خونریزی کنه خطر ناکه و نیاز به عمل داره بهمین خاطر ترسیدم
0
1404/11/22
پزشک اوما
خواهش میکنم گل من 😘❤️😘نه نگران نباشید درمورد کیست جدید دیده شده ال دی بخورید و بعد سونوگرافی را تکرار کنید معمولا با ال دی رفع میشود ولی تا تعیین تکلیف کار سنگین نکنید ورزش سنگین نکنید چرخش ناگهانی نداشته باشید وسیله سنگین بلند نکنید دخول خشن هم ممنوع
0
1404/11/22
سوال کننده
خیلی خیلی ممنونم بابت تمام راهنماییهاتون مرسی از وقتی که گذاشتید و انقدر کامل توضیح دادید چشم حتما حواسم هست♥️♥️
0
1404/11/24
پزشک اوما
خواهش میکنم گل من انجام وظیفه هست و الهی که چشم هاتون بی اشک باشند نازنینم 😘❤️😘❤️
0
1404/11/24
پزشک اوما
stk: |~|11|~|103_col
0
1404/11/30
سوال کننده
عزیزدلید مهربونم نه قشنگ دلم لطفتون بوده واقعا وظیفه ای نیست♥️🫂🌹
1
1404/11/30
پزشک اوما
خواهش میکنم گل من عزیزدلم هستید مهربان جانم ❤️😘❤️😘
1
1404/11/30
پزشک اوما
stk: |~|11|~|110_col
1
1404/12/04
سوال کننده
stk: |~|11|~|178_col
0
1404/12/04
سوال کننده
stk: |~|11|~|178_col
خانم های عزیز برای شرکت در پرسش و پاسخ باید از طریق اپلیکیشن اوما اقدام نمایید.



198

