سلام خانم دکتر عزیز
بنا به توصیه شما و درخواست خودم داپلر دادم امروز.
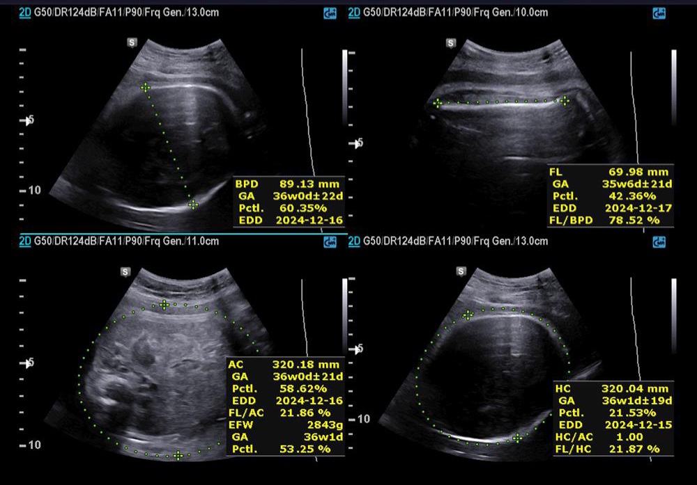
طبق lmp امروز ۳۶ هفته و ۳ روز بودم.
پرسش (1404/11/18):
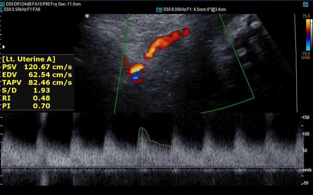
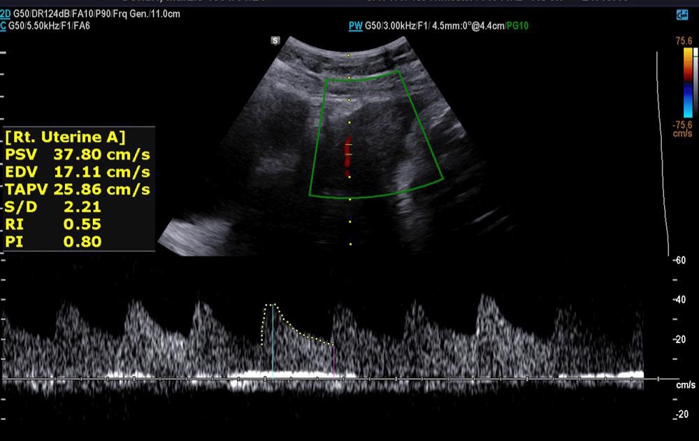
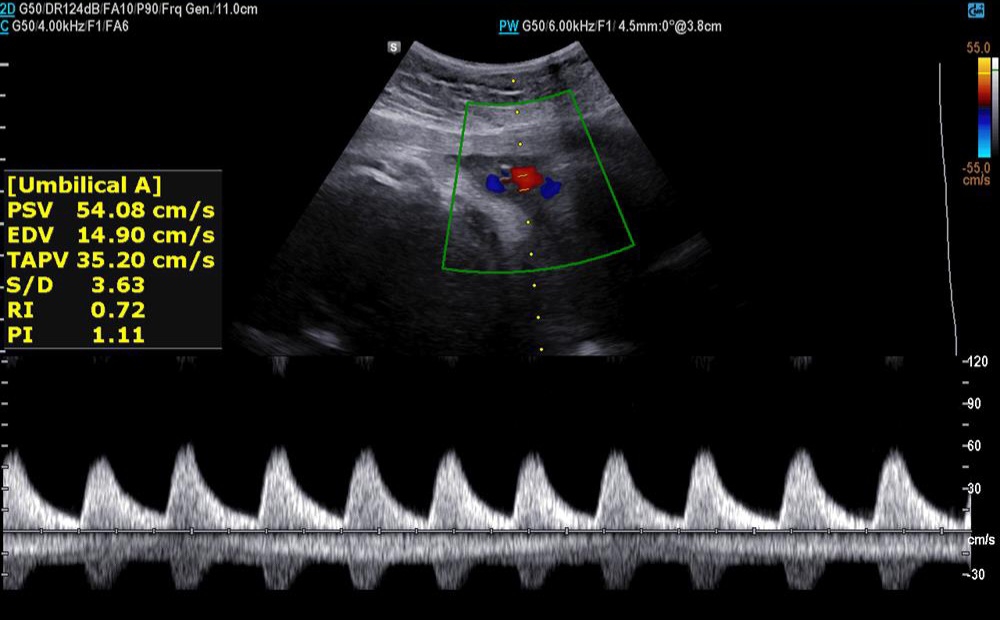
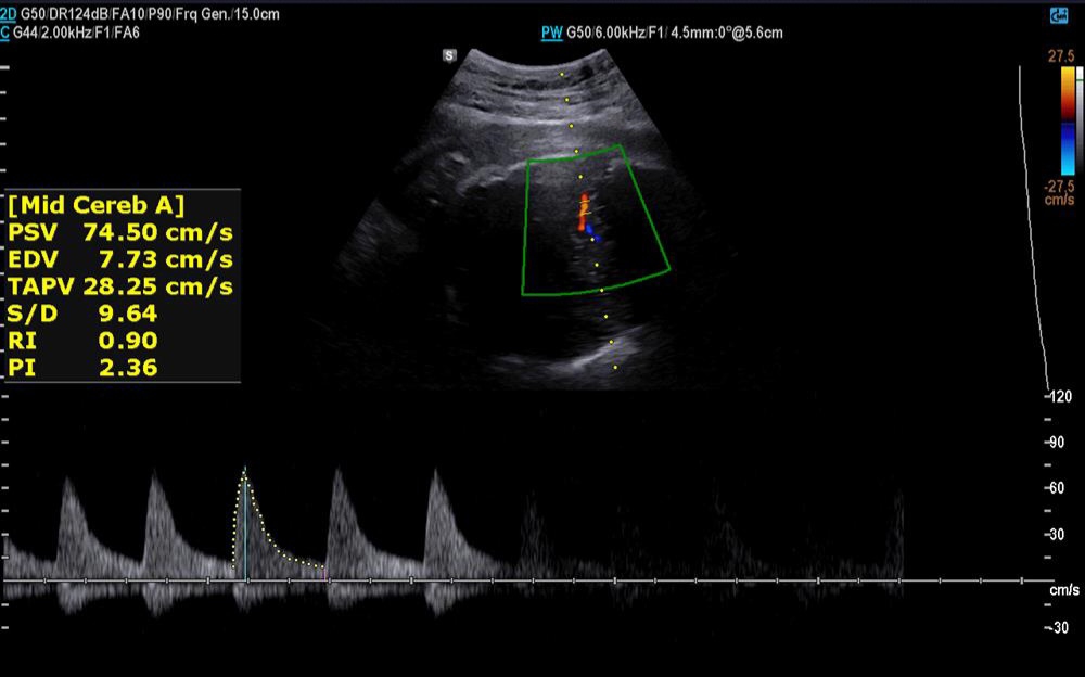
✅️✅️✅️تفسیر سونو داپلر۳۶ هفته🙏🏻
210
28
1404/11/18
سوال کننده
0
1404/11/18
سوال کننده

0
1404/11/18
سوال کننده

0
1404/11/18
سوال کننده

0
1404/11/18
سوال کننده

0
1404/11/18
سوال کننده

0
1404/11/18
سوال کننده

0
1404/11/18
سوال کننده

0
1404/11/18
سوال کننده

0
1404/11/18
سوال کننده

اینم سونوی ۳۴ هفته که یه مرکز دیگه دادم و گف حتما برو داپلر بده
0
1404/11/18
سوال کننده
رژیم غذاییمم تا حدودی تونستم رعایت کنم نه کامل!
0
1404/11/18
سوال کننده
برای افزایش وزن جنین
0
1404/11/19
پزشک اوما
سلام به روی ماهتون مامان جان
خداروشکر شواهد رشدی بهتر شده و در سونوگرافی شواهدی به نفع محدودیت رشد داخل رحمی و همچنین کمبود اکسیژن جنین وجود ندارد ولی مقداری مقاومت شریانی دارید به پزشکتان حتما مراجعه کنید تا درمورد زایمان و یا شروع انوکساپارین تصمیم گیری شود
خداروشکر شواهد رشدی بهتر شده و در سونوگرافی شواهدی به نفع محدودیت رشد داخل رحمی و همچنین کمبود اکسیژن جنین وجود ندارد ولی مقداری مقاومت شریانی دارید به پزشکتان حتما مراجعه کنید تا درمورد زایمان و یا شروع انوکساپارین تصمیم گیری شود
0
1404/11/19
سوال کننده
خانم دکتر دلیل ایجاد مقاومت شربانی چیه؟با تغدیه نمیشه درستش کرد؟
خاطرتون هست ک مینورم و هموگلوبین رفت پایین و حدودا ۱۰ روز پیش آز دادم تازه شد ۹ و ۲دهم.الان نمیدونم چطور شده دیگه.
یعنی احتمالش هست زایمان رو بندازن جلوتر چون سزارینی هستم؟
خاطرتون هست ک مینورم و هموگلوبین رفت پایین و حدودا ۱۰ روز پیش آز دادم تازه شد ۹ و ۲دهم.الان نمیدونم چطور شده دیگه.
یعنی احتمالش هست زایمان رو بندازن جلوتر چون سزارینی هستم؟
0
1404/11/19
سوال کننده
اسپرینو اینا میشه خورد بجای امپول یا مجاز نیستم؟
0
1404/11/19
سوال کننده
فشار خونم هم معمولا هربار گرفتن ۱۰ رو ۶ بوده.
0
1404/11/19
سوال کننده
در حالت عادی خب باید تقریبا ۲هفته دیگه سز بشم تو این دوهفته چیکار میتونم بکنم؟
0
1404/11/19
پزشک اوما
عزیزم علت مشخص نیست و نه صرفا کاهش مصرف نمک کمک کننده هست اما درمان نیست
بله ممکن است زمان زایمان تغییر کند
آسپرین معمولا هغته 34 به بعد داده نمیشود ولی تصمیم با پزشکتان هست چون روال کاری هر پزشک با دیگری متفاوت است
به پهلوی چپ دراز بکشید نمک را به حداقل برسانید و نتیجه را به اطلاع پزشک خود برسانید
بله ممکن است زمان زایمان تغییر کند
آسپرین معمولا هغته 34 به بعد داده نمیشود ولی تصمیم با پزشکتان هست چون روال کاری هر پزشک با دیگری متفاوت است
به پهلوی چپ دراز بکشید نمک را به حداقل برسانید و نتیجه را به اطلاع پزشک خود برسانید
0
1404/11/19
سوال کننده
مچکرم
0
1404/11/19
سوال کننده
ایشالا امروز میرم دکترم و نتیجه رو همینجا اعلام میکنم خدمتتون
0
1404/11/19
سوال کننده
سلام خانم دکتر
0
1404/11/19
سوال کننده
سونو رو بردم پیش دکترم گفتن مشکلی نداره زیر ۱ هست دیگه
0
1404/11/19
سوال کننده
و گفتن نیاز به چیزی نیست
0
1404/11/21
پزشک اوما
سلام به روی ماهتون مامان جان
چه بگویم جانم قطعا نظر ایشان که ویزیت مکرر با شما داشته اشراف بر شزایط داند ارجح است ولی تحت نظر مداوم باشید
چه بگویم جانم قطعا نظر ایشان که ویزیت مکرر با شما داشته اشراف بر شزایط داند ارجح است ولی تحت نظر مداوم باشید
0
1404/11/21
سوال کننده
خانم دکتر دقیقا کدام قسمت عددش بالاس آخه ب من گف زیر یک هست و مشکلی نداره
0
1404/11/21
پزشک اوما
جانم pi 2.4 ولی تحت نظر باشید مشکلی ندارد
0
1404/11/21
سوال کننده
تشکر🙏🏻
0
1404/11/22
پزشک اوما
خواهش میکنم گل من ❤️
خانم های عزیز برای شرکت در پرسش و پاسخ باید از طریق اپلیکیشن اوما اقدام نمایید.




