سلام دکتر جان وقتتون بخیر ❤️
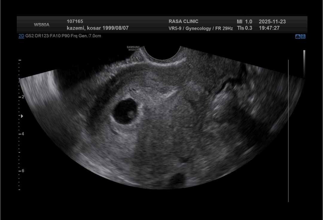
امروز برای چک کردن ساک بارداری رفتم سونو ک دیدم قلبشم تشکیل شده میشه چک کنید لطفا مشکلی نداشته باشه❤️🙏
ساک بارداری ب این گردی من ندیده بودم تاحالا😂😍
هرچهارتا بارداریم اصلا اینجوری نبوده😁
پرسش (1404/09/02):
سونو قلب ۶ هفته
612
89
1404/09/02
سوال کننده
1
1404/09/02
سوال کننده

0
1404/09/02
سوال کننده

0
1404/09/02
zeinab banoo
اخی مبارکت باشه عزیزدلمممم انشالله ب خوبی بگذرونی این دورانو
0
1404/09/02
مامان m
ای جانم مبارکت باشه نینی اولته ؟
0
1404/09/02
⚘️⚘باخدا غیر ممکن،ممکن میشود⚘⚘️ ...
ای جیگر😍
0
1404/09/02
⚘️⚘باخدا غیر ممکن،ممکن میشود⚘⚘️ ...
منم ساکم گرد بود
0
1404/09/02
⚘️⚘باخدا غیر ممکن،ممکن میشود⚘⚘️ ...
فسقلو اون وسط🧿😘
1
1404/09/02
H .
نی نی پنجمه😍
0
1404/09/02
H .
مبارکت باشه عزیزم انشااله ب سلامتی😍
0
1404/09/02
لیلا زمانپور
مبارک باشه عزیزم انءشاالله بسلامتی بیابغلت 💝💚
0
1404/09/02
مایسا 🌙
مبارکت باشه عزییزم خدا حفظش کنه😍
0
1404/09/02
مامان m
عزیزممممم خدا حفظشون کنه
0
1404/09/02
سوال کننده
قربونت برم عزیزم همچنین شما✨️❤️
1
1404/09/02
سوال کننده
مرسی عزیزدلم 🥹❤️نه پنجمیه
0
1404/09/02
سوال کننده
ای جااانم🥹😍
0
1404/09/02
سوال کننده
مث نخودههه🥺🥲
0
1404/09/02
⚘️⚘باخدا غیر ممکن،ممکن میشود⚘⚘️ ...
کوثر ی سوال
تو سزارین شدی بعد باردار شدی شکمت ک بزرگ میشد اون بخیت اذیتت نمیکرد
من الان ی بخیه دارم زیر شکمم نیست
از نافم تا سمت چپمه
الان ک یکم شکمم بزرگ شده درد میکنه تیر میکشه
تو سزارین شدی بعد باردار شدی شکمت ک بزرگ میشد اون بخیت اذیتت نمیکرد
من الان ی بخیه دارم زیر شکمم نیست
از نافم تا سمت چپمه
الان ک یکم شکمم بزرگ شده درد میکنه تیر میکشه
1
1404/09/02
⚘️⚘باخدا غیر ممکن،ممکن میشود⚘⚘️ ...
قدرت خدا فقط
ک اون یذره قلب داره و قلبش میزنه
سبحان الله
ک اون یذره قلب داره و قلبش میزنه
سبحان الله
0
1404/09/02
سوال کننده
قربونت برم عزیزم سلامت باشی 😍❤️
شما هم ب سلامتی نی نی تو بغل بگیری
شما هم ب سلامتی نی نی تو بغل بگیری
1
1404/09/02
سوال کننده
دورت بگردم ممنونم
کلی دعاتون کردم عزیزدلم ❤️🫂ان شاالله همه منتظرا این لحظه رو ب زودی تجربه کنن✨️
کلی دعاتون کردم عزیزدلم ❤️🫂ان شاالله همه منتظرا این لحظه رو ب زودی تجربه کنن✨️
0
1404/09/02
فهیمه N
سلام عزیزم
خیلی بهت تبریک میگم انشاالله ششمی رو هم بیاری بعد این
من همیشه ارزو داشتم 6تا بچه داشته باشم 😍
خیلی تصویر ساکت قشنگه انشاالله بسلامتی بگذرونی
خیلی بهت تبریک میگم انشاالله ششمی رو هم بیاری بعد این
من همیشه ارزو داشتم 6تا بچه داشته باشم 😍
خیلی تصویر ساکت قشنگه انشاالله بسلامتی بگذرونی
2
1404/09/02
سوال کننده
مرسی قشنگم فداتشم 😍❤️✨️
ان شاالله ب زودی قسمت شما گلم🫂
ان شاالله ب زودی قسمت شما گلم🫂
0
1404/09/02
سوال کننده
قربونت برم 🫂❤️
0
1404/09/02
مهسا سادات
سلام عزیزم مبارکتون باشه به سلامتی بغل بگیری ایشالا همه فرزندان عزیزت در پناه خدامحفوظ باشن و از بلا دور .
0
1404/09/02
سوال کننده
نه عشقم اصلا شکمم ب اون صورت بزرگ نیس و اذیت نداره بخیم فقط یه وقتایی ک داد میزنم یه کوچولو میسوزه بهش فشار میاد
منم بارداری قبلیم خیلی نگران بودم ولی خداروشکر مشکلی واسه جای زخم قبلیم پیش نیومد
منم بارداری قبلیم خیلی نگران بودم ولی خداروشکر مشکلی واسه جای زخم قبلیم پیش نیومد
1
1404/09/02
سوال کننده
بخدااا
من واقعا انتظار نداشتم ب این کوچولویی قلبش بزنه
فقط واسه ساک رفته بودم میخواستم ببینم خارج رحمه یا داخل
خیلی سوپرایز شدم
من واقعا انتظار نداشتم ب این کوچولویی قلبش بزنه
فقط واسه ساک رفته بودم میخواستم ببینم خارج رحمه یا داخل
خیلی سوپرایز شدم
0
1404/09/02
⚘️⚘باخدا غیر ممکن،ممکن میشود⚘⚘️ ...
شاید مال من چون رو شکمه کش میاد در میگیره
1
1404/09/02
⚘️⚘باخدا غیر ممکن،ممکن میشود⚘⚘️ ...
مبارکت باشه
بسلامتی بیاد تو بغلت ان شاالله
بسلامتی بیاد تو بغلت ان شاالله
0
1404/09/02
⚘️⚘باخدا غیر ممکن،ممکن میشود⚘⚘️ ...
منم رفتم گ ببینم در چ وضعم
دارو گیاهی بخورم دیدم قلبش تشکیل شده میزنه
دارو گیاهی بخورم دیدم قلبش تشکیل شده میزنه
0
1404/09/02
سوال کننده
سلام فهیمه عزیزم🫂❤️
فداتشم نه دیگه ان شاالله ب امید خدا لوله هامو میبندم این سری
ان شاالله ب زودی قسمت شما بشه من حسابی ذوق کنم قربونت برم 😍🥹
فدای تو بشم
فداتشم نه دیگه ان شاالله ب امید خدا لوله هامو میبندم این سری
ان شاالله ب زودی قسمت شما بشه من حسابی ذوق کنم قربونت برم 😍🥹
فدای تو بشم
0
1404/09/02
سوال کننده
چند هفته بودی دقیقا
1
1404/09/02
سوال کننده
سلام عزیزدلم فدای محبتت ممنونممم
سلامت باشی جانم ان شاالله ب زودی قسمت شما 😍🥹❤️
سلامت باشی جانم ان شاالله ب زودی قسمت شما 😍🥹❤️
1
1404/09/02
⚘️⚘باخدا غیر ممکن،ممکن میشود⚘⚘️ ...
والا یادم نیست ولی همین ۶ یا ۷ بود
0
1404/09/02
⚘️⚘باخدا غیر ممکن،ممکن میشود⚘⚘️ ...
الان اوما دیدم یادداشت کردم
۶هفته و ۶ روز
۶هفته و ۶ روز
0
1404/09/02
سوال کننده
وای عزیزم تصورشم برام دردناکه حتما راجبش با دکتر صحبت کن خیالت رو راحت کنه
0
1404/09/02
سوال کننده
قربونت برم همچنین 😍❤️
0
1404/09/02
⚘️⚘باخدا غیر ممکن،ممکن میشود⚘⚘️ ...
حالا من نگران ماهای اخرم ک شکم بزرگتر میشه
دکترمم زیاد بارش نیست خو
دکترمم زیاد بارش نیست خو
1
1404/09/02
سوال کننده
عزیزم 😍😍
0
1404/09/02
سوال کننده
ببین حتماً دکترت رو عوض کن پیش یه دکتری برو که واقعاً از همه لحاظ خوب باشه خیالت راحت باشه تو بارداری حداقل استرس این چیزا رو نداشته باشی
اگه تهرانی دکتر خودم رو بهت معرفی کنم
اگه تهرانی دکتر خودم رو بهت معرفی کنم
0
1404/09/02
⚘️⚘باخدا غیر ممکن،ممکن میشود⚘⚘️ ...
یکی هست بی نهایت شلوغه واقعا دگ حوصلم نمیگیره برم
ن تهران نیستم
ن تهران نیستم
0
1404/09/02
⚘️⚘باخدا غیر ممکن،ممکن میشود⚘⚘️ ...
نمیدونم برم پیش جراحم ب اون بگم
0
1404/09/02
سوال کننده
دقیقاً دکتر منم خیلی شلوغه نوبت گرفتن ازش آدم رو پاره میکنه🫠
ولی خوب چاره چیه هم بارداری شما با توجه به شرایطت خطرناک هم بارداری من که زایمان چهارمم میشه هم میخوام لولههامو ببندم ریسکش بالاست باید پیش کسی برم که حداقل استرس نداشته باشم به نظرم تو هم برو به خرده تحمل کن ماهی یه دفعه برو که اذیت نشی زیاد
ولی خوب چاره چیه هم بارداری شما با توجه به شرایطت خطرناک هم بارداری من که زایمان چهارمم میشه هم میخوام لولههامو ببندم ریسکش بالاست باید پیش کسی برم که حداقل استرس نداشته باشم به نظرم تو هم برو به خرده تحمل کن ماهی یه دفعه برو که اذیت نشی زیاد
0
1404/09/02
سوال کننده
آره اگه فکر میکنی کمک میکنه بهش بگو
0
1404/09/02
⚘️⚘باخدا غیر ممکن،ممکن میشود⚘⚘️ ...
اخه کوثر من زیر نظر ۴تا متخصصم هرماه
دگ واقعا خسته میشم
دگ واقعا خسته میشم
0
1404/09/03
سوال کننده
حق داری عزیزم
پس ب یکیشون ک فکر میکنی واقعا حالیشه صحبت کن خیالت راحت بشه
پس ب یکیشون ک فکر میکنی واقعا حالیشه صحبت کن خیالت راحت بشه
0
1404/09/03
⚘️⚘باخدا غیر ممکن،ممکن میشود⚘⚘️ ...
اره میرم ان شاالله
0
1404/09/03
سوال کننده
ان شاالله ک خیره گلم
0
1404/09/03
فهیمه N
عزیزمی
انشاالله مهربون 😍😍
قربونت برم
تن خودت وهمسرت و بچه هات سلامت باشه
انشاالله مهربون 😍😍
قربونت برم
تن خودت وهمسرت و بچه هات سلامت باشه
0
1404/09/03
🌻𝔽𝕒𝕥𝕖𝕞𝕖𝕙🌻 ab
مبارکت باشه عزیزدلم بسلامتی بغلش بگیری🤲🏻😍😍💋
0
1404/09/03
ارزو مامان اردلان و نیکان
مبااارکه😍😍😍
0
1404/09/03
پزشک اوما
سلام به روی قشنگتون مامان گل
مبارکتان باشد همه چیز عالی است ، بله یک ساک بارداری خوشگل هست یک گردو کوچولوی دلبر درراه دارید ❤️😘😊
مبارکتان باشد همه چیز عالی است ، بله یک ساک بارداری خوشگل هست یک گردو کوچولوی دلبر درراه دارید ❤️😘😊
0
1404/09/03
فاطیما احمدی
سلام مبارکه 😍😍 انشالله سالمو صالح بیاد بغلت
0
1404/09/03
فاطیما احمدی
سلام مبارکه 😍😍 انشالله سالمو صالح بیاد بغلت
0
1404/09/03
MaMaNe Deniz❤Delana
سلام کوثر جان مبارکه نی نی پنجمی بسلامتی بغلش کنی انشاالله 🤩🤩🤩💝💝💝💝
0
1404/09/03
سوال کننده
دورت بگردم عزیزم سلامت باشی 😍🫂❤️
1
1404/09/03
سوال کننده
مرسی خوشگلم سلامت باشی 🥹😍❤️
0
1404/09/03
سوال کننده
ممنون آرزو جانم🥹😍🥰
0
1404/09/03
سوال کننده
ممنون دکتر جان لطف کردید
خداروشکر 🥹😍😍
خداروشکر 🥹😍😍
0
1404/09/03
سوال کننده
سلام فاطیما جان مرسی قشنگم همچنین نی نی تو🫂🥹🥰
ان تی رفتی راستی؟
ان تی رفتی راستی؟
0
1404/09/03
سوال کننده
سلام عزیزدلم بله🥹😍سلامت باشی خدا کوچولوهات رو حفظ کنه جانم 😘👼🏻
0
1404/09/03
فاطیما احمدی
فردا نوبت دارم عزیزم دعا کن برام🥺
0
1404/09/03
mozh z@
مبارکه عزیزم چه نانازه😍😄
0
1404/09/03
Feri 🙃🤩☹️
کوثرجونی توچقدر جیگری حس مهربونی وخوشقلبیت رو از مجازی هم به آدما انتقال میدی😘😘
0
1404/09/03
Feri 🙃🤩☹️
مبارکت باشه کنار دسته گلات بهترین لحظات رو تجربه کنی
ویه دعای ویژه تر اگه پیش خداقابل باشم الهی که به بزرگی خودش یه دخمل باشه الهی که ددددخخخمممللل مخملی جیگر مهمون دلت وخونه ت بشه یه همدم واسه اجی جونیش بشه😍😍😍😍🙏🙏🙏🙏🙏🤲🤲🤲🤲
ویه دعای ویژه تر اگه پیش خداقابل باشم الهی که به بزرگی خودش یه دخمل باشه الهی که ددددخخخمممللل مخملی جیگر مهمون دلت وخونه ت بشه یه همدم واسه اجی جونیش بشه😍😍😍😍🙏🙏🙏🙏🙏🤲🤲🤲🤲
0
1404/09/03
سوال کننده
ان شاالله ب سلامتی منتظر خبرای خوبتم عزیزم 🥹😍😍
0
1404/09/03
سوال کننده
مرررسی عزیزدلم 😁😍😍آره واقعا بامزه بود برام
0
1404/09/03
سوال کننده
فرزانهههه جان دورت بگردم تو لطف داری عزیزدلم 😭🥹🫂
تو خودت دقیقا همینجوری مهربون و خوش قلبی ک این فکر رو داری فداتشم 🥹😍🤌🏼
تو خودت دقیقا همینجوری مهربون و خوش قلبی ک این فکر رو داری فداتشم 🥹😍🤌🏼
0
1404/09/03
سوال کننده
قربونت برم عزیزم 🥹🥹ان شاالله واقعا ذوق دارم جنسیتش رو بدونم
دوس دارم دختر باشه اسمشو بذارم النا
دیگه پسر واسه من بسه واقعا😂
فدای محبتت عزیزم با این دعای قشنگت🥰😍😍صد درصد قابلی مهربونم
دوس دارم دختر باشه اسمشو بذارم النا
دیگه پسر واسه من بسه واقعا😂
فدای محبتت عزیزم با این دعای قشنگت🥰😍😍صد درصد قابلی مهربونم
0
1404/09/03
پزشک اوما
خواهش میکنم عزیزدل من 😘❤️😊زنده باشید
0
1404/09/03
مهشید .
ماشالله
بچه هات همشون دلبرن
بچه بیار به همین قشنگی انشالله خیرشونو ببینی
بچه هات همشون دلبرن
بچه بیار به همین قشنگی انشالله خیرشونو ببینی
0
1404/09/04
Feri 🙃🤩☹️
ای جااانم فدای قلب ودل مهربونت کوثر خوش قلب 😍😍😍
1
1404/09/04
سوال کننده
stk: |~|11|~|103_col
0
1404/09/04
سوال کننده
عزیزدلمممم🥹😍مهشید جان مرسی از لطفت
خدا کوچولوتو حفظ کنه قشنگم 🫂
خدا کوچولوتو حفظ کنه قشنگم 🫂
0
1404/09/04
سوال کننده
دورت بگردم خب عزیزدلم 🥺🫂🩷 قربونت برم
خانم های عزیز برای شرکت در پرسش و پاسخ باید از طریق اپلیکیشن اوما اقدام نمایید.
سوالات مشابه
- روز۴۷سیکل بی بی چک مثبت
- میشه سونو منو ببینید
- سلام کسایی که رفتن سونو قلب یه لحظه میایید
- کم گفتن سن بارداری و جنین
- سلام بچه ها خوبین
- سلام خانوما خسته نباشید دکتر من دیروز برام سونو قلب نوشت
- سوال درباره زمان درست سونو قلب
- حالا چطوری برم دکتر برا سونو قلب😐🤦♀️😭
- بیاین که قلب گردوی مامان تشکیل شده😍😍😍😍😍❤❤❤❤❤🤰🤰🤰🤰🤰
- سلام خانومای مهربونم امروز رفتم سونو تشکیل قلب اما دکترم تا۲۲نیست بهم داروتجویزکنه از شما راهنمایی میخوام




